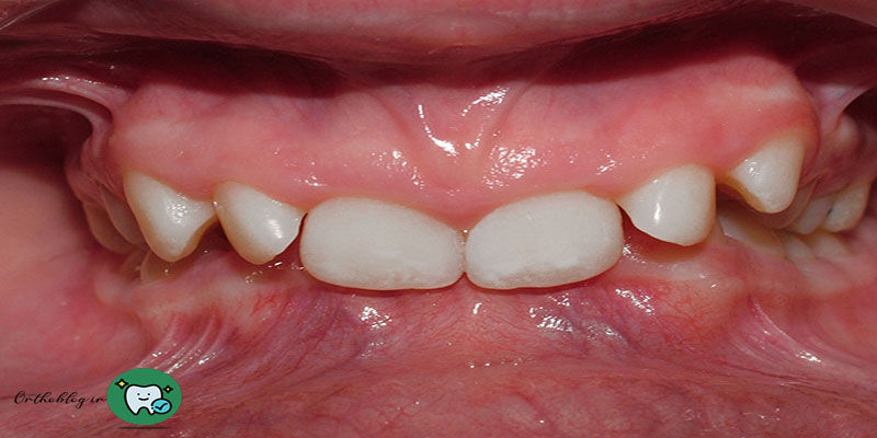
دیپ بایت یا نیش عمیق، زمانی رخ می دهد که دندان های جلویی در فک بالا و پایین، بلند تر از حد معمول می شوند. در این صورت این دندان ها، بیش از حد دندان های مقابل خود را همپوشانی می کنند.
✍دسترسی سریع
Toggleنیش عمیق اغلب به علت ژنتیک اتفاق می افتد و نتیجه آن عدم تقارن دندان ها در فک ها است. در پاره ای از موارد هم دیده شده که دیپ بایت در دندانپزشکی در اثر کارهای ضعیف یا ناقص ایجاد شده است. همچنین موارد دیگری وجود دارند که ممکن است باعث ایجاد دیپ بایت شوند.
این موارد عبارتند از:
در هر صورت اگر شما دندان های نامرتب و ناهنجاری داشته باشید درمان های مختلفی وجود دارند که می توانند آنها را درست کنند.

اگر دندانپزشک به شما گفته که دندان های جلوییتان بیش از سایر دندان ها رشد کرده اند، ممکن است شما نیاز به درمان ارتودنسی دندان داشته باشید. بریس ارتودنسی رایج ترین روش برای رفع ناهنجاری های دندانی و به خصوص دیپ بایت شما است.
دندانپزشک شما احتمالا شما را به یک متخصص ارتودنسی معرفی می کند.
این وسیله یک دستگاه ارتودنسی متحرک یا ثابتی است که ارتودنتیست ها از آن برای مرتب کردن دندان ها استفاده می کنند.
خبر خوب اینکه امروزه بریس ها و نوارها را خیلی شیک می سازند. برخی از آنها رنگی و برخی نیز نامرئی هستند. همچنین با کمک متخصص ارتودنسی شما می توانید تعیین کنید که برای حرکت دندان های شما چه نوع بریسی مناسب تر عمل می کند.

در این عارضه دندان های جلویی بیش از حد رشد می کنند و به دندان های مجاور یا مقابل خود آسیب می رسانند. برخی مواقع نیز یک یا چند دندان فوقانی جلویی درفک بالا ، به یک یا چند دندان جلویی در فک پایین آسیب های جدی می رساند.
در مواردی حتی دیده شده است که این آسیب دندان ها به مفاصل فک، جدی تر از سایر موارد است. در برخی از موارد هم دندان های جلویی در فک پایین بقدری رشد می کنند که به داخل بافت لثه در سقف دهان فرو می روند.
دراین صورت این مسئله بسیار جدی می شود و ممکن است منجر به از دست دادن دندان های جلویی شود. آسیب دیگر دیپ بایت آسیب روانی و اجتماعی است که بر فرد وارد می شود.
این عارضه اغلب نیاز به درمان ارتودنسی چند رشته ای و همکاری بین دندانپزشک و متخصص ارتودنسی دارد. امروزه برای برطرف کردن ناهنجاری دیپ بایت گزینه های مختلفی وجود دارد.
از جمله بریس دندان و نگهدارنده های متحرک که می توانند کمک بسیاری در رفع این عارضه داشته باشند. ارتودنتیست ها در این باره دوره های خوبی گذرانده اند و در اصلاح بی نظمی دندان ها متخصص هستند. درمان ارتودنسی مدرن می تواند به وسیله اصلاح دندان های قدامی جلو و با همتراز کردن دندان های پشتی این ناهنجاری را اصلاح کند.

انواع مختلف ارتودنسی برای درمان دیپ بایت در بزرگسالان عبارتند از:
در موارد شدید که سایر درمان ها پاسخگو نیستند جراحی ارتوگناتیک بهترین راه حل است. انتخاب این درمان از سوی ارتودنتیست شما بسته به مشخصات صورت شما دارد.
این راه حل اگرچه تهاجمی است و بستگی فراوانی به رشد احتمالی صورت شما دارد اما پاسخگوی نیازهای کلی امروز شما می باشد.
شایع ترین موارد این عارضه در ناحیه دندان های جلویی در فک بالا مشاهده شده اند.
در مواردی که دندان های جلویی بلندتر و نامرتب تر از سایر دندان ها باشد در این گونه موارد راه حل هایی وجود دارد. گاهی اوقات هم نیاز است که دستگاه ارتودنسی متحرک به طور متناوب استفاده شود.

خالی بودن دندان های مقابل باعث بلندتر شدن دندان های روبرویی می شوند. در این موارد برای رفع دیپ بایت این افراد، دندان های گمشده با ایمپلنت های دندانی و یا پل و بریج بازگردانده می شوند.
در صورتی که بزرگسالان دندان های مقابل خود را از دست داده باشند این مسئله می تواند بایت عمیق ایجاد کند و یا آن را تشدید کند. اگر چه ممکن است به نظر برسد این مسئله تنها از نظر زیبایی مشکل آفرین است اما ممکن است در واقع بسیار جدی تر از اینها باشد